Each smile story is unique.

Each transformation is designed with a conservative approach—using minimal to no tooth preparation whenever possible—to preserve your natural tooth structure while enhancing your smile.
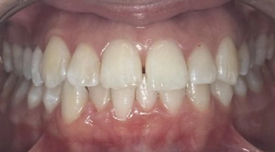
Invisalign
Invisalign
Dental Veneers Before Dental Veneers After
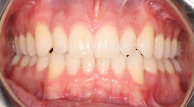
Invisalign
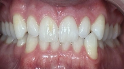
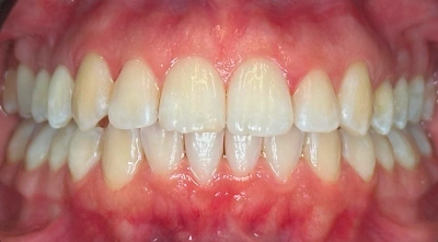
Dental Veneers Before Dental Veneers After
Invisalign
Teeth Whitening Before Teeth Whitening After
Full Mouth Reconstruction
Dental treatment Before Dental treatment After
Full Mouth Reconstruction
Dental treatment Before Dental treatment After
Old Bonded Veneers Upgraded to Ceramics
All in X Dental Implants Before All in X Dental Implants After
Smile Makeover
Full Mouth Reconstruction
Old Bonded Veneers Upgraded to Ceramics
Full Mouth Reconstruction
Full Mouth Reconstruction
Full Mouth Reconstruction
Smile Makeover
Smile Makeover
Smile Makeover
Smile Makeover
Smile Makeover
Smile Makeover
Smile Makeover
Replaced Old Ceramics with New Ceramics for a Smile Makeover
Dental Filling Before Dental Filling After
Corrected Peg Lateral with Upper Ceramics on Front 4 Teeth
Professional Whitening
Professional Whitening

New Patients & Emergency Appointments Welcome!

Schedule An Appointment
(617) 238-7700